어깨통증 병원 찾기, 오십견 증상이라면 바로 여기

어깨가 뻐근하거나 찌릿한 통증이 느껴질 때, 대부분은 ‘자고 일어나서 잘못된 자세 때문’이라거나
‘한 번쯤은 다들 아프지’ 하고 넘어가는 경우가 많다. 하지만 반복되거나 오래 지속되는 어깨통증은
단순한 근육 피로가 아니라 근본적인 질환의 신호일 수 있다.
어깨통증, 단순 근육통으로 넘기면 안 되는 이유
특히 다음과 같은 증상이 동반된다면
정형외과 또는 재활의학과 진료를 받는 것이 좋다.
- 팔을 들어 올릴 때 통증이 심해짐
- 밤에 더 아파서 수면이 어렵다
- 가만히 있어도 뻐근하거나 욱신거림
- 어깨와 팔이 동시에 저리다



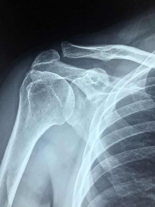
어깨통증의 대표 원인 4가지
어깨 통증의 원인은 다양하다.
그중에서도 가장 흔히 진단되는 대표적인 4가지는 아래와 같다.
① 회전근개 질환
어깨를 움직이게 해주는 힘줄(회전근개)이
퇴행성 변화나 외상으로 손상된 경우이다.
팔을 들어올릴 때 통증이 심하고, 특정 각도에서 움직임이 제한된다.
② 오십견 (유착성 관절낭염)
특별한 외상이 없음에도 불구하고
어깨 움직임이 점점 줄어들고,
밤에 통증이 심해지는 것이 특징이다.
40~60대 여성에게 많이 나타나며
서서히 진행되는 특징을 보인다.
③ 석회화건염
힘줄 부위에 석회가 침착되면서
극심한 통증을 유발하는 질환이다.
급성일 경우, 팔을 움직이지 못할 정도로 통증이 심하다.
④ 경추 디스크
어깨 통증이 실제 어깨 문제가 아닌
목에서 시작되는 경우도 있다.
경추 디스크로 인한 신경 압박이
어깨, 팔, 손까지 저림을 유발할 수 있다.



오십견인지 어떻게 구분할 수 있을까?
자가진단 방법과 병원에서의 진단 포인트
일반적인 근육통이나 회전근개염과는 달리,
오십견은 특징적인 증상이 있다.
다음과 같은 항목 중 3가지 이상 해당된다면
오십견 가능성을 의심해 볼 수 있다.
- 팔을 위로 올리기 어렵다
- 손을 등 뒤로 넣는 동작이 힘들다
- 밤에 통증이 심해서 깨는 일이 많다
- 움직일 때 통증보다 움직임 자체의 제한이 더 크다
- 특별한 충격이나 사고 없이 시작되었다
하지만 정확한 구분은 영상 검사(MRI, 초음파 등)를 통해
전문가의 진단을 받는 것이 필수이다.
어깨통증 병원, 어디로 가야 효과적인가?
어깨통증이 발생했을 때 무조건 정형외과만 떠올리기 쉽다.
하지만 질환의 원인에 따라 선택해야 할 병원의 진료과가 다를 수 있다.
- 정형외과:
- 대상 질환:
- 회전근개 파열
- 석회화 건염
- 어깨 관절염 등
- 치료 방법:
- 수술적 치료
- 주사 요법 등
- 대상 질환:
- 재활의학과:
- 대상 질환:
- 오십견(동결견)
- 만성 근골격계 통증 등
- 치료 방법:
- 비수술적 치료
- 물리치료
- 도수치료 등
- 대상 질환:
- 마취통증의학과:
- 대상 질환:
- 급성 또는 만성 통증 관리
- 치료 방법:
- 신경 차단술
- 약물 치료 등
- 대상 질환:
병원을 고를 때 이런 부분을 체크하자
- 건강보험심사평가원의 '우리 지역 좋은 병원 찾기' 서비스를 활용하면
거주지 인근의 신뢰할 수 있는 병원을 검색할 수 있습니다.
우리 지역 좋은 병원 찾기 - 아래는 서울 지역의 어깨 통증 관련 진료를 제공하는 병원들입니다:
- 서울대학교병원 정형외과:
- 특징:
- 1946년 개설된 이래 근골격계 질환 및 외상에 대한 전문적인 진료 제공
- 세분화된 전문 분야별 특수클리닉 운영
- 홈페이지
- 특징:
- 올바른정형외과의원:
- 특징:
- 다년간의 수술 경험을 바탕으로 정확한 진단과 치료 제공
- 환자에게 가장 적합한 치료를 지향
- 홈페이지
- 특징:
- 제일정형외과병원 재활의학센터:
- 특징:
- 수술 후 재활치료에 특화된 센터 운영
- 전문 물리치료사들의 풍부한 경험과 노하우 보유
- 홈페이지
- 특징:
- 바른세상병원:
- 특징:
- 정형외과와 재활의학과 전문의를 포함한 통합 진료 제공
- 척추 및 관절 질환에 대한 체계적인 치료 시스템 구축
- 홈페이지
- 특징:
각 병원의 상세한 진료 시간, 의료진 정보, 진료 과목 등은 해당 병원 홈페이지를 통해 확인하시기 바랍니다. - 서울대학교병원 정형외과:
병원 선택 시 고려사항
- 전문의의 경력과 전문 분야:
- 해당 분야에서의 경험과 전문성을 확인하세요.
- 보유 장비 및 시설:
- 최신 진단 장비와 치료 시설의 유무를 체크하세요.
- 환자 후기 및 평가:
- 실제 환자들의 경험을 참고하여 병원의 신뢰도를 판단하세요.
- 위치와 접근성:
- 거주지와의 거리, 교통 편의성을 고려하여 지속적인 치료가 용이한지 확인하세요.



어깨통증, 방치하면 어떻게 될까?
어깨 질환은 초기에는 단순 염좌처럼 느껴질 수 있다.
하지만 이를 방치하게 되면
관절 유착, 근육 위축, 관절 기능 손실 등으로 이어질 수 있으며
회복이 더딜 수밖에 없다.
특히 오십견은 치료 시기를 놓치면
6개월 이상 회복이 걸리는 경우도 흔하다.
때문에 어깨통증이 2주 이상 지속된다면
반드시 전문 진료를 받아야 한다.
어깨 통증 예방법 및 생활 습관
어깨 통증과 관련된 최신 치료법, 예방 방법, 생활 습관 개선 등에 대한 정보를 검색하여 보강하겠습니다.
- 어깨 통증 예방을 위한 생활 습관:
- 올바른 자세 유지:
- 장시간 앉아 있을 때는 어깨를 펴고 등받이에 등을 기대는 자세를 유지하세요.
- 적절한 운동:
- 어깨 스트레칭과 근력 강화 운동을 통해 어깨 관절의 유연성과 안정성을 높이세요.
- 무거운 물건 들기 주의:
- 무거운 물건을 들 때는 다리의 힘을 사용하고, 어깨에 과도한 부담이 가지 않도록 하세요.
- 올바른 자세 유지:
- 어깨 통증 완화를 위한 최신 치료법:
- 체외충격파 치료:
- 비침습적 방법으로 근골격계 통증을 완화하는 데 효과적입니다.
- 프롤로테라피:
- 인대나 힘줄의 재생을 촉진하여 통증을 감소시키는 주사 요법입니다.
- 도수치료:
- 전문 치료사가 손을 이용하여 근육과 관절의 기능을 개선하는 치료법입니다.
- 체외충격파 치료:
주의:
위의 치료법들은 전문의와 상담 후 개인의 상태에 맞게 적용되어야 합니다.



결론: 어깨통증, 질병의 언어
어깨 통증은 일상생활의 질을 저하시킬 수 있으므로
정확한 진단과 적절한 치료가 필수적입니다.
거주지 인근의 전문 병원을 선택하여
전문의와 상담을 통해 개인에게 맞는 치료 계획을 수립하시길 권장드립니다.
'건강 - 상식' 카테고리의 다른 글
| 연속 혈당측정기 가격 보험 적용까지 총정리 (3) | 2025.03.30 |
|---|---|
| 황반변성 치료 비용 황반변성에 좋은 음식 안내 (2) | 2025.03.29 |
| 갱년기 유산균 YT1 열감 증상 여성에게 추천하는 영양제 (1) | 2025.03.28 |
| 황반변성 증상 원인 종류 자가진단 안내 가이드 (0) | 2025.03.28 |
| 무릎관절에 좋은 운동 피해야 할 나쁜 자세 총정리 (0) | 2025.03.27 |
댓글